Se trata de masculino de 38 años de edad quien acude al
servicio de emergencias posterior a hecho vial tipo colisión moto-carro. Siendo
este el chofer de la moto, hecho ocurrido hace 3 horas presenta:
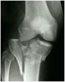
politraumatismos generalizados entre ellos destaca el trauma abdominal cerrado
y una fractura de platillo tibial tipo VI de Schatzker abierta tipo II derecha.
Según la clasificación de Gustilo;
es llevado a mesa operatoria por parte del
equipo quirúrgico de cirugía general y traumatología en un segundo tiempo
quirugico en el mismo acto quirúrgico realizándosele limpieza quirúrgica,
cobertura cutánea se efectuó reducción cerrada mediante tracción manual
estabilizando la superficie articular con tornillos canulados percutáneos (dos tornillos) bajo control con arco en C.
Posteriormente se procedió a la colocación del tutor externo, introduciendo en
primer lugar 2 alambres de Kirschner de 2 mm de diámetro paralelas a la
superficie articular, una de ellas en dirección de postero externo a antero
interno y la otra desde postero interno a antero externo, conectando a
continuación el hemiaro. Tras realizar el tensado de los alambres, se colocaron
2 Schanz de 5 mm de diámetro no
transfixiantes en superficie antero interna de la diáfisis tibial con barra de
fibra de carbono de 11 mm de diámetro. Finalmente se efectuó la alineación
metafisodiafisaria bajo control con arco en C y se fijo la barra al anillo
mediante la rótula de conexión además se colocó una segunda barra de fibra de
carbono divergente para conseguir mayor estabilidad del montaje.
Paciente quien inició rehabilitación a los 15 días. La carga
no se permitió hasta los 3 meses y el fijador se retiró de forma ambulatoria
cuando se apreció consolidación en la zona metáfiso-diafisaria
Respecto a este caso
responda:
1. Diagnóstico
AO.
2. Está
usted de acuerdo con la terapéutica empleada? Fundamente su respuesta basándose
en estudios con nivel de evidencia.
3. Qué
principio de tratamiento se cumplen con la fijación empleada?
4. Objetivos
del tratamiento de este tipo de fractura?


AO:41C3. Si , sin embargo les falto elevar el platillo lateral que radiologicamente esta colapsado, lo haría por la ventana primitiva de la fractura o por una ventana anterolateral ( tendria que ver la TAC o rx lateral) el injerto es discutido.. Con los tornillos traccion, con tutor se busca sosten.. Reduccion anatomica, rehabilitacion precoz, apoyo tardío y en este caso dar un buen sustrato para RTR. Osteoartrosis postraumatica
ResponderBorrartotalmente de acuerdo con el Ao 41c3, en vista de ser una fractura abierta el uso del tutor externo fue muy buena eleccion, cambiaria la orientacion de los alambres buscando un mejor posicionamiento sobre los fragmentos y sin escatimar en evidencia, plantearía el uso de injerto oseo, recordando que con el tutor el principio a emplear es el de sostén buscando reducción anatómica por ser una fractura articular
ResponderBorrar